2023年2月25日,由中(zhōng)國(guó)醫(yī)學(xué)裝(zhuāng)備協會核醫(yī)學(xué)裝(zhuāng)備與技(jì )術專業委員會主辦(bàn)的“2022年核醫(yī)學(xué)分(fēn)子影像新(xīn)技(jì )術交流會” 在北京舉行,會議圍繞全球分(fēn)子影像及核醫(yī)學(xué)大型設備新(xīn)技(jì )術進行交流探讨。永新(xīn)醫(yī)療在會上展示了動物(wù)PET/SPECT/CT 一體(tǐ)機及SPECT/CT的MPH(多(duō)針孔)準直器,獲得與會專家的廣泛認可(kě)。
圖 動物(wù)PET/SPECT/CT産(chǎn)品彙報
在PET技(jì )術彙報環節,永新(xīn)醫(yī)療産(chǎn)品市場經理(lǐ)王豐收詳細介紹了永新(xīn)自主研發的臨床前分(fēn)子影像成像系統——動物(wù)PET/SPECT/CT。該産(chǎn)品創新(xīn)性實現了三模态一體(tǐ)化,采用(yòng)PET和SPECT共享探測器設計,擁有(yǒu)雙層晶體(tǐ)+雙芯片等先進技(jì )術,在性能(néng)和穩定性方面表現突出。産(chǎn)品配有(yǒu)多(duō)針孔準直器,使SPECT空間分(fēn)辨率和靈敏度顯著提升。動物(wù)PET/SPECT/CT支持的核素種類更多(duō),科(kē)研适用(yòng)性更強,能(néng)更好地促進醫(yī)學(xué)科(kē)研成果轉化及推動診療一體(tǐ)化發展。

圖 MPH(多(duō)針孔)準直器成像技(jì )術彙報
在SPECT技(jì )術彙報環節,永新(xīn)醫(yī)療資深算法工(gōng)程師高麗蕾介紹了永新(xīn)自主研發的MPH(多(duō)針孔)準直器成像技(jì )術。其能(néng)夠在通用(yòng)型SPECT設備上實現包括心髒、甲狀腺等器官三維/四維斷層數據快速采集,獲得高清顯像效果,為(wèi)心髒血流動力學(xué)分(fēn)析的硬件條件。期待這項技(jì )術能(néng)夠在我國(guó)核醫(yī)學(xué)領域獲得更加廣泛地臨床應用(yòng)。

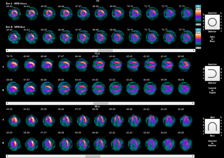
圖 永新(xīn)MPH - 心肌灌注顯像采集

圖 永新(xīn)MPH -甲狀腺3D采集
花(huā)開疫散,未來可(kě)期。大會在熱烈的核技(jì )術交流讨論中(zhōng)圓滿結束,但核技(jì )術創新(xīn)之路還在不斷繼續,永新(xīn)醫(yī)療将持續深耕核醫(yī)學(xué)分(fēn)子影像領域,依托國(guó)家高端醫(yī)療器械自主可(kě)控等戰略舉措,全力加速技(jì )術創新(xīn)和國(guó)産(chǎn)化進程,為(wèi)促進我國(guó)醫(yī)療器械領域整體(tǐ)進入國(guó)際先進行列提供科(kē)技(jì )支撐。